language icon
+41 71 950 27 30
pedCAT premium / LineUP LE Volumentomograf

pedCAT premium / LineUP LE Volumentomograf

pedCAT premium / LineUP LE Volumentomograf Füsse und Sprunggelenke

 

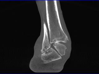
Das pedCAT ist die erste Praxislösung eines digitalen Volumentomografen ( englisch: Conebeam) für den Fuss- und Sprunggelenk Chirurgen. Das Gerät ermöglicht die Diagnostik mit Hilfe eines pyramidenförmigen Röhrenstrahles und eines Flachbilddetektors, die sich 360° um den Patienten drehen und sowohl belastete als auch teilbelastete Untersuchungen von Fuss- und Sprunggelenken zulassen. Innerhalb von 68 Sek. ist die Untersuchung von beiden Füssen abgeschlossen, die Bildrekonstruktion erfolgt in 3,5 Minuten.

  • 2D- und 3D-Bildakqusition und Darstellung beider Füsse und Sprunggelenke mit oder ohne Belastung
  • Darstellung dreidimensionaler Details, die mit konventionellen Röntgenbildern nicht darstellbar sind
  • 3D-Darstellung unter Belastung, was mit konventioneller Computertomographie nicht möglich ist
  • Ermöglicht präzise OP-Planung
  • Schnelle und einfach Anwendung – Scan und Bilddarstellung in wenigen Minuten
  • Äusserte geringe Strahlenbelastung (vgl. 3-5 Extremitäten-Röntgenbilder)
  • Die 3D-Darstellung für den 3D-Patienten
  • Kompakte Geräteabmessungen für Praxis oder Klinik

 

Kurzinformation
weitere Informationen